모닝 와이드
방송일시 : 종영-
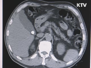
"무리한 다이어트도 담석의 원인"
2010.12.09 | 42회
-
농산물 물가잡고, 수입품 가격 내리고! [정책&이슈]
2010.12.09 | 42회
-
허리띠 버클 [한국의 유물]
2010.12.09 | 42회
-
창업자, 세무 멘토링 서비스 받으세요 [정책 플러스]
2010.12.09 | 42회
-
모닝 와이드 (41회)
2010.12.08 | 41회
-
한미 군수뇌, '연평도 도발' 공동대응 협의
2010.12.08 | 41회
-
이 대통령 "주민 안전 위해 서해5도 요새화"
2010.12.08 | 41회
-
"전투형 야전부대 육성…도발시 강력 응징"
2010.12.08 | 41회







